Our new website is live!
Aesthetics
About
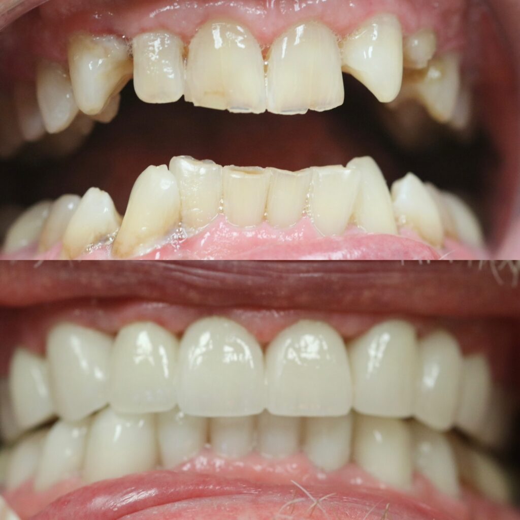
Upper Crowns and Bridge
This content may not be appropriate for all ages. Please continue at your own discretion.
You can begin your journey in just a few clicks — simply tell us a bit about your concerns and we will match you with a treatment.
Build My Treatment Plan
Visited us before? Book instantly using your account.
Book Online
"*" indicates required fields
Book Now
Booking is simple and convenient. Let our client concierge team know how to get in touch to book your appointment.
Δ